
🤝 Niềng răng cần sự dũng cảm và tin tưởng từ hai phía

Thật vậy. Trong nha khoa, có những quy trình chuẩn hoá cho đại đa số khách hàng. Nhưng một số cách tiếp cận lại đòi hỏi sự dũng cảm của cả bác sĩ và cả bệnh nhân. Dũng cảm ở đây không phải là liều lĩnh làm điều mình không hiểu biết. Mà là đặt vào nhau niềm tin vào sự tử tế của đối tác. Khách hàng tin tưởng bác sĩ. Bác sĩ có lòng yên tâm khách hàng sẽ ở lại với mình đến hết điều trị dù cho khó khăn. Sự kiên định. Đó là yếu tố cốt lõi để mọi mối quan hệ có kết quả tốt, kể cả mối quan hệ bác sĩ – bệnh nhân.
🛡️ Niềng răng an toàn bắt đầu từ việc điều trị nha chu triệt để

Hành trình 3 năm bắt đầu bằng một cơ duyên mình cạo vôi răng cho chị chỉ với một than phiền chính là chân răng bị đen, chảy máu khi đánh răng. Đó cũng là lúc Nhi chẩn đoán chị có tình trạng nha chu viêm toàn bộ 2 hàm. May sao do Nhi cạo vôi nhẹ nhàng, mà chị tin tưởng mình điều trị phẫu thuật nha chu 3 tháng liên tục và nhổ một số các răng cối do tình trạng viêm nặng không thể giữ được. Rồi 3 tháng tiếp theo theo dõi quá trình lành thương. Chị đã triệt để thực hiện việc vệ sinh răng miệng. Kết quả lành thương ngoạn mục. Nướu săn chắc. Hết túi nha chu. Nhi có niềm tin vào sự kỉ luật và hợp tác của chị.
👄 Niềng răng giảm hô và thách thức kiểm soát “tam giác đen”

Rồi những Tam giác đen xuất hiện như một hệ quả tất yếu sau phẫu thuật nha chu. Và lúc này chị có nhu cầu cho nụ cười thẩm mỹ hơn bằng cách giảm hô 2 hàm. Nhi đắn đo mãi vì là BS chỉnh nha ai cũng sợ chỉnh cho bệnh nhân nha chu. Lỡ có lúc nào khi đang kéo mà con vi khuẩn nha chu bùng lên thì ăn cho hết. Sau nhiều lần tư vấn cả những ưu nhược điểm và rủi ro, chị vẫn tràn đầy quyết tâm chỉnh nha thì Nhi cũng dũng cảm điều trị bằng lực chỉnh nha hết sức nhẹ nhàng cho chị vậy. Rồi thì nhổ thêm 4 răng cối nhỏ. Rồi thì cắm 4 vis. Rồi thì đeo thun vv và vv. Rồi thì cũng 2 năm rưỡi tới lúc tháo mắc cài.
🏆 Niềng răng thành công: Kết quả thay đổi khuôn mặt sau 2.5 năm

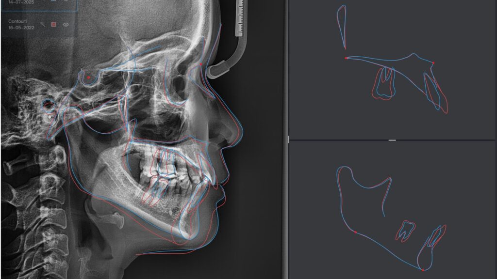
Kết quả:
Đóng toàn bộ khoảng mất R46 (mặc dù lúc đầu không dám hứa sẽ làm được)
Giảm độ nhô Răng cửa HT 5mm, Giảm độ nhô răng cửa HD 4mm
Mặt nhìn nghiêng phẳng. Giảm độ nhô môi HT, HD 3mm
Mặc dù có thể kéo thêm nữa nhưng mình đã dừng lại trước lòng tham của một perfectionist để cân bằng giữa sự lành mạnh của mô nha chu và thẩm mỹ cải thiện đáng kể. Và phần thưởng đặc biệt lớn nhất vẫn là mô nha chu khoẻ mạnh. Cuối cùng, cùng đón chờ bộ veneer che tam giác đen nhé.
❤️ Niềng răng tử tế: Bài học về sự kiên định và linh hoạt

Hoàn thành ca của chị, Nhi học được một bài học lớn: Sự kiên định và linh hoạt thích nghi với những biến đổi từ thực tế là một minh chứng không thể chối cãi về năng lực lâm sàng của một bác sĩ. Sống thật, ngay thẳng và tử tế là tiêu chí sống và làm việc bền vững nhất của Nhi!
Dr. Nhi Nguyen
🏥 Nhi Nguyễn Dental – Giải pháp bảo tồn từ chuyên gia cho mọi gia đình
✨ Chuyên Niềng răng, Sứ thẩm mỹ, Lấy tuỷ không đau
Fanpage: www.facebook.com/nhinguyendental
Youtube: www.youtube.com/@nhinguyendental



