
Vệ sinh răng miệng đúng cách Phần 3: Sử dụng sản phẩm vệ sinh răng miệng bổ sung
Vệ sinh răng miệng bổ sung đóng vai trò tăng cường kiểm soát vi khuẩn, đặc biệt ở những bệnh nhân có nguy cơ cao hoặc đang trong giai đoạn
Giải pháp bảo tồn từ chuyên gia cho mọi gia đình
Mang đến đầy đủ dịch vụ nha khoa từ chăm sóc cơ bản đến giải pháp thẩm mỹ cao cấp, đáp ứng mọi nhu cầu chăm sóc và cải thiện nụ cười của bạn.
Kiểm tra tổng quát, điều trị sâu răng, viêm nha chu và các vấn đề răng miệng khác
Kiểm tra tổng quát, điều trị sâu răng, viêm nha chu và các vấn đề răng miệng khác
Kiểm tra tổng quát, điều trị sâu răng, viêm nha chu và các vấn đề răng miệng khác
Bác sĩ Nhi đã dành hơn 15 năm học tập trong và ngoài nước, đồng thời trực tiếp điều trị hàng trăm ca từ đơn giản đến phức tạp. Hành trình học thuật và kinh nghiệm thực tế này chính là nền tảng để mang lại sự yên tâm cho khách hàng
Mang đến đầy đủ dịch vụ nha khoa từ chăm sóc cơ bản đến giải pháp thẩm mỹ cao cấp, đáp ứng mọi nhu cầu chăm sóc và cải thiện nụ cười của bạn.
Vô tình tìm thấy nha khoa trong group niềng răng và tới khám thử. Sau khi nghe chị tư vấn là chốt luôn.
Có phác đồ đầy đủ, rõ ràng. Trong quá trình niềng răng, chị làm cẩn thận, kỹ càng và cực kỳ thoải mái, thời gian khám linh hoạt.
Mình tháo niềng sau 1 năm rưỡi, vừa đúng thời gian dự kiến ban đầu. Hiện tại răng đều và đẹp hơn rất nhiều, mình vô cũng hài lòng với kết quả này.
Cảm ơn chị Nhi và đội ngũ làm răng rất nhiều 🥰🥰🥰
Thao Mai
Mình vừa kết thúc quá trình niềng răng kéo dài gần 3 năm. Trong suốt thời gian đó, mình rất ấn tượng với sự nhiệt tình và vui vẻ của bác sĩ Nhi. Mỗi lần tái khám đều cảm thấy thoải mái và được chăm sóc rất tận tâm.
Kết quả khiến mình rất hài lòng – răng đều hơn rõ rệt và quan trọng nhất là mình tự tin hơn khi cười 😊
Chân thành cảm ơn bác sĩ Nhi và đội ngũ đã đồng hành cùng mình trong suốt hành trình này! 💖
Hoàn Bùi
Nha khoa đẹp và bác sĩ thân thiện như ở nhà. Vị trí dễ tìm và có chỗ để xe trong nhà. Phục vụ chu đáo và tận tâm
Dung Nguyen
I had no plan to come here — it was a random encounter by the road on my way to another clinic for a body check-up. I just stopped by for 5 minutes to ask about a night guard and was very impressed by the service. My highest recommendations — European-level service and quality
Дмитрий Фомкин
Phòng khám Nha khoa khá tiện nghi, hiện đại. Bác sĩ và các nhân viên rất ân cần, chu đáo, sắp xếp thời gian phù hợp cho khách.
Giá cả hợp lý; tư vấn để mình chọn lựa phù hợp khả năng tài chính. Mình khám xong, giới thiệu cho bà xã đến kiểm tra luôn 😄.
Ky The
Tư Vấn Miễn Phí
Hân hạnh đồng hành cùng bạn tìm giải pháp nha khoa an toàn, hiệu quả và phù hợp nhất.
(Các thông tin cung cấp đều được bảo mật)
Quý khách cần tư vấn giải pháp phù hợp?
Hãy để Nhi Nguyễn Dental đồng hành cùng bạn – đội ngũ bác sĩ giàu kinh nghiệm, tận tâm hỗ trợ từ chẩn đoán đến điều trị.
Liên Hệ
Cập nhật thông tin hữu ích về chăm sóc răng miệng và xu hướng nha khoa mới nhất
Tin tức Nhi Nguyễn dental

Vệ sinh răng miệng đúng cách Phần 3: Sử dụng sản phẩm vệ sinh răng miệng bổ sung
Vệ sinh răng miệng bổ sung đóng vai trò tăng cường kiểm soát vi khuẩn, đặc biệt ở những bệnh nhân có nguy cơ cao hoặc đang trong giai đoạn

Vệ sinh răng miệng đúng cách Phần 2: Vệ sinh kẽ răng hiệu quả
Trong hành trình chăm sóc răng miệng đúng cách, phần lớn mọi người thường hay quên vệ sinh kẽ răng và mặc định rằng chỉ cần đánh răng là đủ.

Vệ sinh răng miệng đúng cách Phần 1: Những nguyên tắc cơ bản
Vệ sinh răng miệng là chủ đề rất được quan tâm tư vấn khi khách hàng tìm đến với nha khoa. Trong thực hành nha khoa, việc kiểm soát mảng

3 Yếu tố khiến kế hoạch niềng răng quan trọng hơn kỹ thuật
Khi tư vấn chỉnh nha, kế hoạch niềng răng đôi khi không được chú trọng bởi khách hàng và ngay khi cả với bác sĩ. Nhiều người lầm tưởng rằng

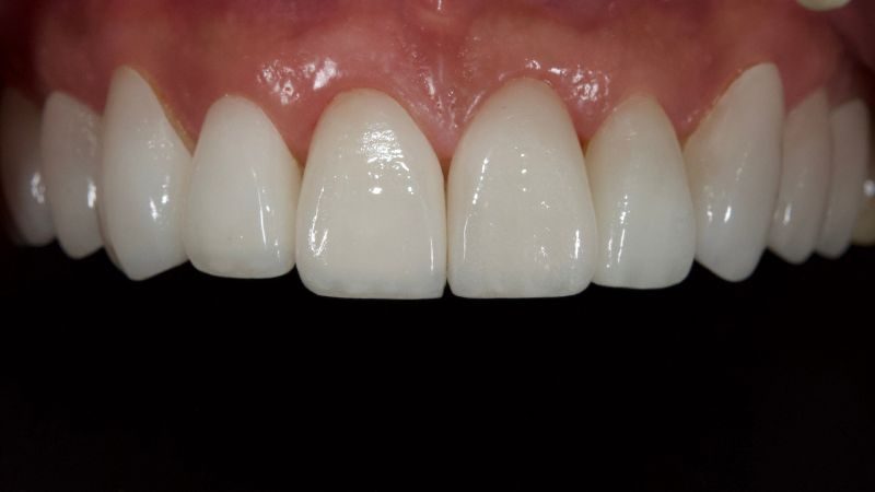
Niềng răng không nhổ răng bằng khay trong suốt – Giải pháp thẩm mỹ hiện đại
Niềng răng không nhổ răng đang trở thành xu hướng chỉnh nha được nhiều khách hàng lựa chọn nhờ tính thẩm mỹ cao, ít xâm lấn và mang lại sự

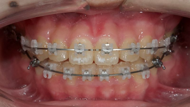
So sánh 2 loại niềng răng mắc cài: Thường hay tự buộc?
Niềng răng mắc cài thường và niềng răng mắc cài tự buộc là hai phương pháp chỉnh nha phổ biến hiện nay. Ngoài sự khác biệt về chi phí, hai
Kiến thức Nha Khoa

Vệ sinh răng miệng đúng cách Phần 3: Sử dụng sản phẩm vệ sinh răng miệng bổ sung
Vệ sinh răng miệng bổ sung đóng vai trò tăng cường kiểm soát vi khuẩn, đặc biệt ở những bệnh nhân có nguy cơ cao hoặc đang trong giai đoạn

Vệ sinh răng miệng đúng cách Phần 2: Vệ sinh kẽ răng hiệu quả
Trong hành trình chăm sóc răng miệng đúng cách, phần lớn mọi người thường hay quên vệ sinh kẽ răng và mặc định rằng chỉ cần đánh răng là đủ.

Vệ sinh răng miệng đúng cách Phần 1: Những nguyên tắc cơ bản
Vệ sinh răng miệng là chủ đề rất được quan tâm tư vấn khi khách hàng tìm đến với nha khoa. Trong thực hành nha khoa, việc kiểm soát mảng

3 Yếu tố khiến kế hoạch niềng răng quan trọng hơn kỹ thuật
Khi tư vấn chỉnh nha, kế hoạch niềng răng đôi khi không được chú trọng bởi khách hàng và ngay khi cả với bác sĩ. Nhiều người lầm tưởng rằng

Niềng răng không nhổ răng bằng khay trong suốt – Giải pháp thẩm mỹ hiện đại
Niềng răng không nhổ răng đang trở thành xu hướng chỉnh nha được nhiều khách hàng lựa chọn nhờ tính thẩm mỹ cao, ít xâm lấn và mang lại sự

So sánh 2 loại niềng răng mắc cài: Thường hay tự buộc?
Niềng răng mắc cài thường và niềng răng mắc cài tự buộc là hai phương pháp chỉnh nha phổ biến hiện nay. Ngoài sự khác biệt về chi phí, hai
Những câu hỏi phổ biến nhất từ khách hàng về dịch vụ nha khoa
Bạn nên đi khám nha khoa định kỳ mỗi 6 tháng một lần để phát hiện sớm các vấn đề răng miệng. Tuy nhiên, tùy theo tình trạng sức khỏe răng miệng của bạn, bác sĩ có thể đề xuất lịch tái khám dày hơn (3-4 tháng) hoặc thưa hơn (8-12 tháng). Khám định kỳ giúp ngăn ngừa sâu răng, viêm nha chu và phát hiện các bệnh lý nghiêm trọng sớm.
Chúng tôi cam kết 100% minh bạch về chi phí. Trước khi điều trị, bác sĩ sẽ thăm khám, chụp phim (nếu cần) và đưa ra phác đồ điều trị kèm báo giá chi tiết. Bạn hoàn toàn chủ động trong việc lựa chọn phương án điều trị phù hợp với ngân sách. Chúng tôi không phát sinh chi phí ngoài báo giá đã thống nhất. Ngoài ra, chúng tôi có nhiều gói ưu đãi và hỗ trợ trả góp 0% lãi suất.
An toàn của khách hàng là ưu tiên hàng đầu.
Chúng tôi tuân thủ nghiêm ngặt quy trình vô trùng y tế: dụng cụ được khử trùng bằng autoclave nhiệt độ cao, dụng cụ dùng một lần được thay mới cho mỗi bệnh nhân, phòng khám được vệ sinh và khử khuẩn đều đặn, bác sĩ và nhân viên đeo khẩu trang, găng tay vô trùng.
Phòng khám có đủ giấy phép hành nghề và chứng chỉ hành nghề của Sở Y Tế.
Chúng tôi hiểu nỗi lo sợ của bạn! Nhi Nguyễn Dental áp dụng nhiều biện pháp giảm đau:
(1) Sử dụng công nghệ hiện đại giúp giảm thiểu xâm lấn,
(2) Bác sĩ có kinh nghiệm thao tác nhẹ nhàng
(3) Tư vấn tâm lý trước khi điều trị.
Hầu hết khách hàng của chúng tôi đều nói rằng “không đau như mình nghĩ”.
Không cần chuẩn bị đặc biệt. Bạn chỉ cần:
Tất nhiên! Sau điều trị, bạn sẽ nhận được: (1) Hướng dẫn chăm sóc răng miệng tại nhà chi tiết, (2) Lịch tái khám định kỳ, (3) Hotline hỗ trợ 24/7 để giải đáp thắc mắc, (4) Tái khám miễn phí theo lịch hẹn, (5) Bảo hành cho các dịch vụ đã thực hiện (tùy loại dịch vụ), (6) Nhắc lịch tái khám qua SMS/Zalo. Chúng tôi luôn đồng hành cùng bạn trong suốt quá trình chăm sóc răng miệng.
Có! Chúng tôi có dịch vụ nha khoa nhi đồng chuyên biệt dành cho bé từ 1 tuổi trở lên. Bác sĩ được đào tạo về tâm lý trẻ em, không gian phòng khám thân thiện, có đồ chơi và hoạt hình để bé không sợ. Các dịch vụ cho trẻ bao gồm: khám định kỳ, trám răng sữa, bôi fluoride phòng ngừa sâu răng, nhổ răng sữa, điều trị tủy răng sữa, và tư vấn chỉnh nha sớm. Chúng tôi giúp bé có trải nghiệm nha khoa tích cực ngay từ nhỏ.
Tư Vấn Miễn Phí
Hân hạnh đồng hành cùng bạn tìm giải pháp nha khoa an toàn, hiệu quả và phù hợp nhất.
(Các thông tin cung cấp đều được bảo mật)

