Hành trình thay đổi nụ cười tại Nhi Nguyễn Dental
Mỗi nụ cười là một câu chuyện riêng biệt. Dù bạn đang ở độ tuổi nào hay gặp vấn đề gì, hãy tìm kiếm câu chuyện tương đồng với mình ngay dưới đây để có thêm động lực bắt đầu.
Niềng răng không chỉ dành cho trẻ em. Tại Nhi Nguyễn Dental, chúng tôi đã kiến tạo nụ cười thành công cho khách hàng từ thanh thiếu niên (12-18 tuổi) đến người trưởng thành (30+ tuổi). Mỗi độ tuổi đều có phác đồ xương và lộ trình riêng biệt để đảm bảo hiệu quả tối đa.
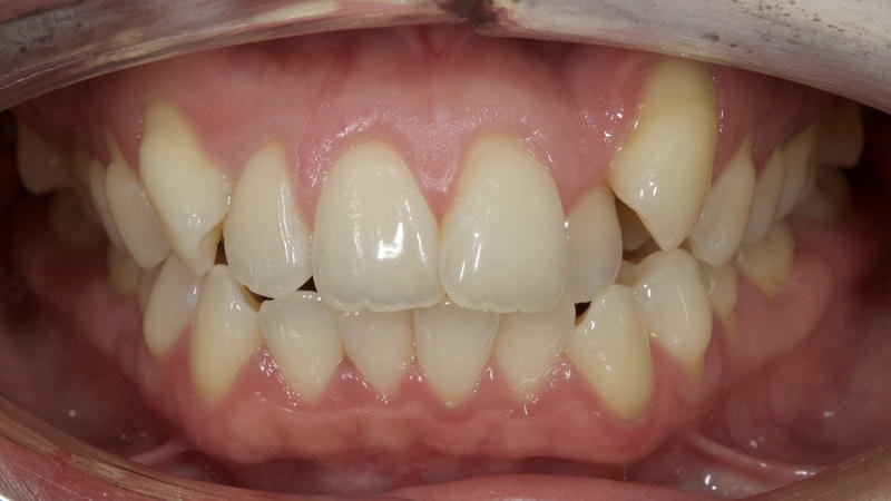
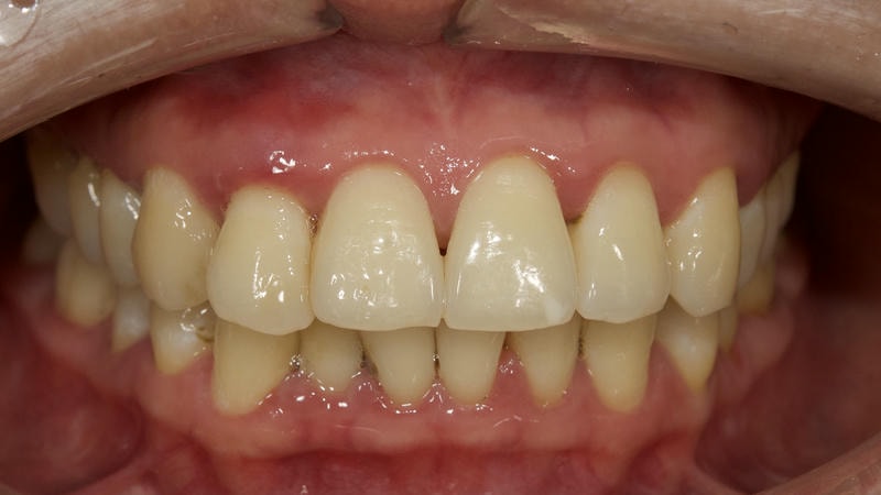
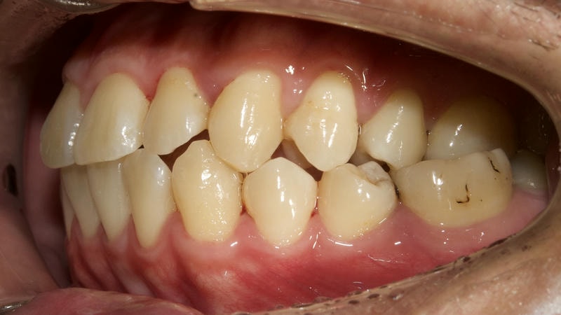
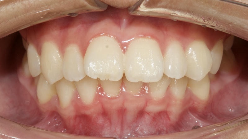
Không có hàm răng nào là ‘hết cách’. Dù bạn gặp tình trạng hô, móm, khấp khểnh hay sai khớp cắn, kho dữ liệu lâm sàng của chúng tôi đều có những ca tương tự đã điều trị thành công để bạn tham khảo sự thay đổi ngoạn mục.
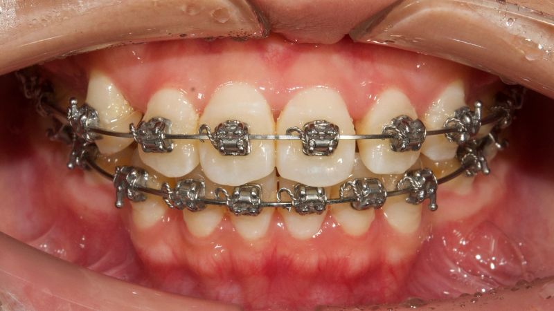
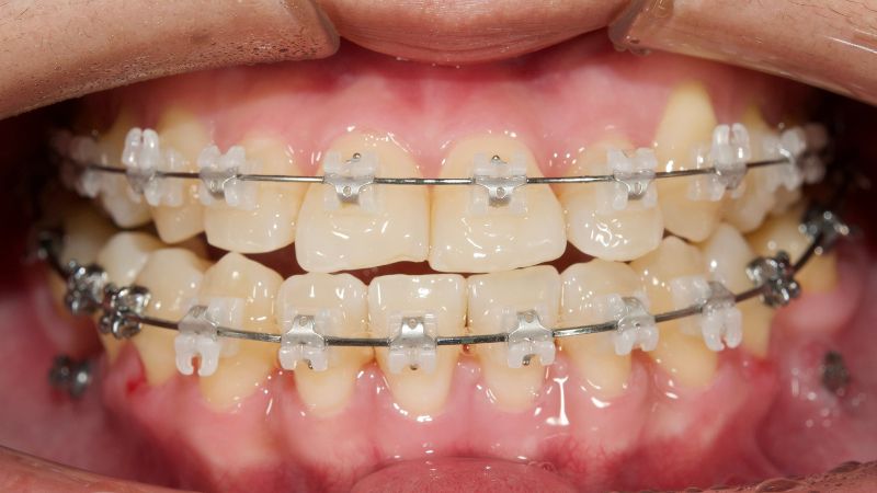
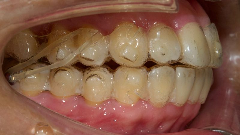
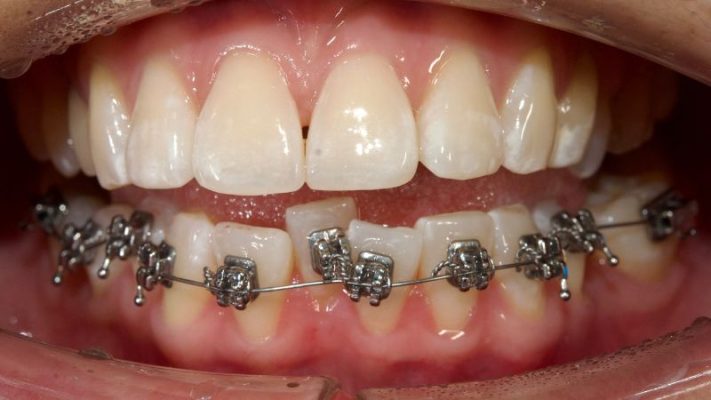
Dù bạn chọn giải pháp tiết kiệm (Mắc cài kim loại) hay thẩm mỹ vô hình (Trong suốt), kết quả cuối cùng vẫn là một khớp cắn chuẩn và nụ cười đẹp. Hãy xem sự khác biệt trong quá trình điều trị của từng loại khí cụ.























