Bọc răng sứ thẩm mỹ

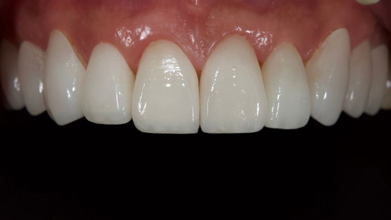
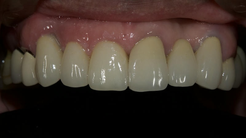
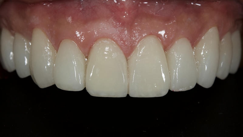
Một nụ cười rạng rỡ không chỉ đến từ màu sắc trắng sáng của răng, mà còn ở hình dáng hài hòa và đều đặn. Khi răng gặp phải những khuyết điểm như sứt mẻ, ố vàng, nhiễm màu hay thưa kẽ, nhiều người trở nên ngại ngùng trong giao tiếp. Tại Nha khoa Nhi Nguyễn, chúng tôi mang đến giải pháp Bọc Răng Sứ Thẩm Mỹ – phương pháp phục hình hiện đại giúp tái tạo nụ cười tự nhiên, bền đẹp, đồng thời trả lại sự tự tin trong cuộc sống.
1. Bọc răng sứ là gì?
Bọc răng sứ là kỹ thuật nha khoa sử dụng một chiếc “mão răng” được chế tác bằng sứ cao cấp, chụp lên phần cùi răng thật đã được mài chỉnh trước đó. Lớp sứ này có màu sắc, hình dáng và kích thước tương tự răng tự nhiên, giúp phục hồi cả về chức năng ăn nhai lẫn tính thẩm mỹ. Đây là lựa chọn tối ưu cho những trường hợp răng khiếm khuyết, vừa mang lại nụ cười đẹp, vừa đảm bảo độ bền chắc trong nhiều năm.
2. Các hình thức phục hình sứ tại nha khoa Nhi Nguyễn
Mỗi khách hàng có tình trạng răng, nhu cầu thẩm mỹ và khả năng tài chính khác nhau. Vì vậy, bác sĩ tại Nha khoa Nhi Nguyễn luôn đưa ra tư vấn cá nhân hóa, lựa chọn loại phục hình sứ phù hợp nhất để vừa đảm bảo tính thẩm mỹ, vừa giữ gìn sức khỏe răng miệng.
2.1. Mão sứ kim loại

Đây là loại phục hình truyền thống, thường được nhiều khách hàng chọn nhờ chi phí hợp lý. Mão sứ kim loại có cấu tạo gồm phần lõi kim loại bên trong và nhiều lớp sứ phủ bên ngoài để tạo thẩm mỹ.
Đặc điểm nổi bật:
- Lõi kim loại: thường làm từ Crom-Cobalt hoặc Titan, tạo khung răng chắc chắn.
- Lớp sứ phủ ngoài: tạo màu sắc gần giống răng thật, đáp ứng nhu cầu thẩm mỹ cơ bản.
Ưu điểm:
- Chi phí thấp, phù hợp với khách hàng muốn tiết kiệm.
- Đảm bảo chức năng ăn nhai ổn định trong thời gian đầu.
Nhược điểm:
- Sau thời gian sử dụng, kim loại có thể oxy hóa, gây hiện tượng thâm đen viền nướu.
- Màu sắc thiếu độ trong và tự nhiên do bị lớp kim loại che khuất.
- Độ bền và tính thẩm mỹ không cao bằng mão toàn sứ.
2.2. Mão toàn sứ

Mão toàn sứ là giải pháp hiện đại và cao cấp, được chế tác hoàn toàn từ khối sứ nguyên chất như Zirconia hoặc Emax. Không chứa kim loại, loại răng này vừa bền chắc, vừa đạt thẩm mỹ tối đa, được xem là lựa chọn hoàn hảo cho cả răng cửa và răng hàm.
Đặc điểm nổi bật:
- Sử dụng phôi sứ nguyên khối, có độ trong suốt, ánh sáng phản chiếu tự nhiên như răng thật.
- Tương thích sinh học cao, hoàn toàn an toàn cho cơ thể.
Ưu điểm:
- Thẩm mỹ vượt trội: màu sắc sáng bóng, trong tự nhiên, không bị ánh xám.
- Độ bền cao: chịu lực ăn nhai mạnh, khó mẻ vỡ.
- An toàn tuyệt đối: không gây kích ứng, không làm đen viền nướu.
Nhược điểm:
- Chi phí cao hơn mão sứ kim loại.
- Cần bác sĩ có tay nghề và công nghệ hiện đại để đạt kết quả hoàn hảo.
2.3. Inlay/Onlay/Overlay sứ

Đây là kỹ thuật phục hình từng phần, được áp dụng khi răng bị mất chất do sâu, vỡ hoặc mòn nhiều. Thay vì bọc toàn bộ răng, bác sĩ chỉ thay thế phần răng hư bằng miếng sứ được thiết kế riêng, đảm bảo vừa khít với cấu trúc còn lại của răng thật.
Đặc điểm nổi bật:
- Miếng sứ được chế tác bằng công nghệ số CAD/CAM với độ chính xác tuyệt đối.
- Có thể phục hồi cả mặt nhai và mặt bên của răng tùy mức độ tổn thương.
Ưu điểm:
- Bảo tồn mô răng thật tối đa, chỉ loại bỏ phần hư hỏng.
- Độ bền cao hơn trám răng thông thường, hạn chế mòn và nứt gãy.
- Tính thẩm mỹ cao nhờ màu sắc tự nhiên.
Nhược điểm:
- Không phù hợp cho răng đã hư hỏng quá nặng cần bọc toàn bộ mão.
- Chi phí cao hơn trám răng composite truyền thống.
2.4. Veneer (mặt dán sứ)

Veneer là giải pháp thẩm mỹ nha khoa cao cấp, mang lại nụ cười hoàn hảo mà vẫn bảo tồn tối đa răng thật. Một lớp sứ siêu mỏng, chỉ từ 0.5 – 0.8 mm, được dán trực tiếp lên mặt ngoài của răng, che phủ khuyết điểm và tái tạo thẩm mỹ tự nhiên.
Đặc điểm nổi bật:
- Dày siêu mỏng nhưng chắc chắn, ôm khít với bề mặt răng.
- Giữ được ánh sáng, vân răng và độ trong suốt giống răng tự nhiên.
Ưu điểm:
- Hạn chế mài răng: bảo tồn tối đa mô răng thật.
- Che phủ hiệu quả các khuyết điểm: răng nhiễm màu, ố vàng, thưa kẽ, sứt mẻ nhỏ hoặc không đều.
- Thẩm mỹ cao: nụ cười sáng rỡ, tự nhiên và hài hòa.
- Tương hợp tốt với mô nướu, đảm bảo sức khỏe răng miệng lâu dài.
Nhược điểm:
- Chi phí cao do yêu cầu công nghệ và kỹ thuật chế tác tinh xảo.
- Không phù hợp cho răng bị sâu lớn hoặc hư hỏng nặng.
3. Quy trình bọc răng sứ chuẩn y khoa
Tại Nha khoa Nhi Nguyễn, mọi ca bọc răng sứ đều được thực hiện theo quy trình 5 bước chuẩn mực, đảm bảo an toàn và kết quả hoàn mỹ.
- Thăm khám & chụp X-quang: Bác sĩ kiểm tra tổng quát, đánh giá tình trạng răng, nướu và xương hàm.
- Tư vấn & lên kế hoạch: Dựa trên mong muốn và tình trạng thực tế, bác sĩ đưa ra phương án phục hình sứ phù hợp nhất.
- Gây tê & sửa soạn răng: Răng được mài chỉnh nhẹ nhàng để tạo cùi, sau đó lấy dấu hàm và gắn răng tạm.
- Thiết kế nụ cười kỹ thuật số: Dữ liệu được chuyển đến Labo, nơi răng sứ được chế tác chính xác bằng công nghệ hiện đại.
- Gắn răng sứ vĩnh viễn: Răng sứ mới được thử khớp, điều chỉnh và gắn cố định. Khách hàng có thể sở hữu nụ cười mới ngay lập tức.
4. Vì sao chọn nha khoa Nhi Nguyễn?
Nhiều khách hàng đã tin tưởng lựa chọn chúng tôi bởi những yếu tố khác biệt:
- Bác sĩ trực tiếp điều trị: Bác sĩ Yến Nhi – với hơn 13 năm kinh nghiệm trong lĩnh vực Răng Hàm Mặt – trực tiếp thăm khám và thực hiện, đảm bảo chuẩn xác từng chi tiết.
- Vật liệu cao cấp – công nghệ tiên tiến: 100% phôi sứ chính hãng, chế tác bằng công nghệ số hiện đại, mang lại độ khít sát tuyệt đối.
- Sự phối hợp chặt chẽ: Giữa bác sĩ – khách hàng – kỹ thuật viên, giúp sản phẩm cuối cùng đáp ứng đúng nhu cầu và thẩm mỹ.
- Chi phí minh bạch, linh hoạt: Tư vấn rõ ràng, có chính sách trả góp để giảm gánh nặng tài chính.
- Bảo hành uy tín: Đồng hành dài lâu, bảo hành theo chính sách cam kết.
- Cam kết kết quả: Điều trị đúng như đã tư vấn, mang đến sự hài lòng và an tâm tuyệt đối.
5. Câu hỏi thường gặp (FAQ)
Bọc răng sứ có đau không? Quy trình được gây tê nhẹ, khách hàng hầu như không cảm thấy đau. Sau khi làm xong có thể ê buốt nhẹ vài ngày, sẽ hết khi răng quen dần.
Tuổi thọ của răng sứ bao lâu? Nếu chăm sóc đúng cách, răng sứ có thể bền đẹp từ 10 – 20 năm.
Có phải mài nhiều răng không? Tùy phương pháp. Với Veneer chỉ cần mài rất ít, còn mão sứ sẽ mài nhiều hơn để đảm bảo độ khít sát.
Chi phí bọc răng sứ là bao nhiêu? Chi phí tùy loại sứ và số lượng răng. Nha khoa Nhi Nguyễn có chính sách trả góp hỗ trợ khách hàng.
Liên hệ & đặt lịch hẹn
Hãy để Nha khoa Nhi Nguyễn đồng hành cùng bạn trên hành trình kiến tạo nụ cười mới. Đặt lịch tư vấn 1:1 cùng Bác sĩ Yến Nhi ngay hôm nay để tìm ra giải pháp bọc răng sứ phù hợp nhất cho bạn!
- Địa chỉ đường: 340 Cao Thắng, Phường Hoà Hưng TPHCM (Địa chỉ cũ: 340 Cao Thắng, P12 Q10, TPHCM)
- Hotline / Zalo: 0931118955
- Website: https://nhinguyendental.com/
- Fanpage Facebook: https://www.facebook.com/nhinguyendental



